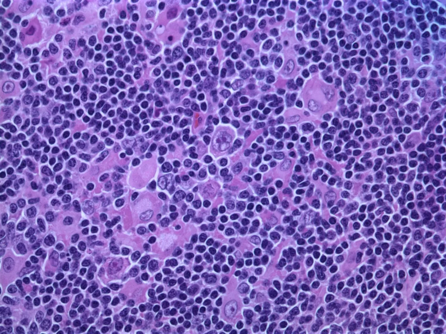
Low Response Rates Endure Post Progression on BrexuCel for Mantle Cell Lymphoma
Relapsed MCL Patients Show Poor Survival After Brexu-Cel Treatment Patients battling Mantle Cell Lymphoma (MCL) who experience a relapse following brexu-cel treatment face grim survival […]
